11 лет практики. Ортопедические задачи от виниров до полной реабилитации.
стоматолог - ортопед
ОСНОВНЫЕ НАПРАВЛЕНИЯ ДЕЯТЕЛЬНОСТИ
Работаю с эстетикой, функцией и восстановлением. Подберу решение, которое подойдёт именно Вам.
Виниры и коронки
Эстетическая реставрация - это бережный способ преобразить улыбку. Она позволяет скорректировать форму и цвет зубов, устранить сколы, потемнения и неэстетичные пломбы. Работа строится с учётом анатомии и черт лица, чтобы результат выглядел гармонично и естественно.
Комплексное восстановление зубов показано при сильном стирании, утрате зубов, нарушении прикуса или общих неудобствах при жевании. Это поэтапное лечение, целью которого является надёжный и долгосрочный результат.
Профессиональные чистка и отбеливание предотвращают кариес и воспаления дёсен. Если Вы не делали чистку более полугода, заметили налёт, неприятный запах или готовитесь к эстетическому лечению, то это хороший повод записаться на прием.
УСТАНОВКА КОРОНОК НА ИМПЛАНТАХ И НА СОБСТВЕННЫЙ ЗУБ
Пациент обратился с проблемой отсутствия и повреждения зубов на нижней челюсти.
Решение Установлены две коронки на имплантатах и одна коронка на собственный зуб. Восстановили жевательную функцию, естественную форму зубов и эстетичный вид улыбки.
Фото "до/после". Результаты индивидуальны
Фото "до/после". Результаты индивидуальны
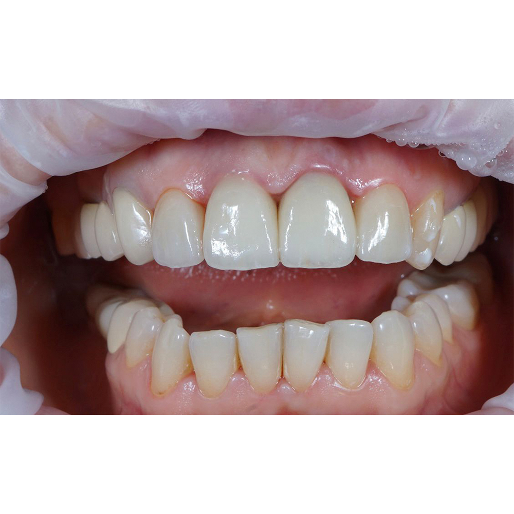
УСТАНОВКА 10 ВИНИРОВ НА ВЕРХНЕЙ ЧЕЛЮСТИ
Пациентка обратилась с жалобами на неудовлетворительную форму и эстетику верхнего ряда зубов после старой реставрации.
Решение Первый этап лечения состоял из профессионального отбеливания. Спустя две недели после стабилизации цвета была выполнена установка десяти керамических виниров E.max на верхнюю челюсть.
ВОССТАНОВЛЕНИЕ ВЕРХНЕГО ЗУБНОГО РЯДА КОРОНКАМИ И ВИНИРАМИ
Пациент обратился с жалобой на неудовлетворительную форму и повреждения передних зубов.
Решение Установлены коронки на центральные резцы и виниры на боковые зубы. Добились естественной формы, цвета и полной эстетики улыбки.